SHARK
SCREW
Bioresorbable Bone Allograft Screw
A screw machined entirely from 100% human cortical bone allograft that is colonized by the patient's own osteoblasts, remodeled through preserved Haversian canals, and ultimately becomes native bone — eliminating permanent hardware forever.

The Challenge
METAL SCREWS LEAVE A LEGACY PROBLEM
Conventional Metal Hardware
- ✕Stress shielding causes bone density loss around the implant
- ✕Imaging artifacts obscure post-op assessment on CT and MRI
- ✕Hardware removal surgery required when fixation is no longer needed
- ✕Foreign body response and corrosion over time
Shark Screw
- ✓Bone-to-bone interface — no stress shielding, no density loss
- ✓No metal means no imaging artifacts on CT or MRI
- ✓Remodels into native bone — no hardware to remove
- ✓Colonized by patient's own cells via preserved Haversian canals

Cortical Bone Architecture
PRESERVED HAVERSIAN CANALS
SurgeBright's processing preserves the natural microarchitecture of cortical bone — including the Haversian canals that serve as biological highways for cell migration.
These canals allow the patient's osteoblasts, osteoclasts, and stem cells to colonize and remodel the screw from the inside out, converting the allograft into living, load-bearing native bone.
Biological Mechanism
HOW IT WORKS
01
Implantation
Inserted like a standard cortical bone screw with thread geometry providing immediate mechanical fixation comparable to metal hardware.
02
Cell Colonization
The patient's osteoblasts, osteoclasts, and mesenchymal stem cells migrate into the Haversian canals, seeding the allograft with living tissue.
03
Remodeling to Native Bone
Over months to years, the allograft is progressively replaced by the patient's own cortical bone — the screw disappears and becomes the patient.
Manufactured by SurgeBright
RESEARCH-BACKED,
FDA CLEARED
surgebright developed the Shark Screw through rigorous biomechanical research at Graz University of Technology. Every screw is precision-machined from human cortical bone allograft under strict quality controls, and is distributed in the US through surgebright Inc. in Denver, CO.
- —Processed to eliminate infectious risk while preserving bone microarchitecture
- —Maintained sterility and shelf-stability for OR readiness
- —Available in the US market — FDA cleared
- —Fully traceable donor chain through certified tissue banking

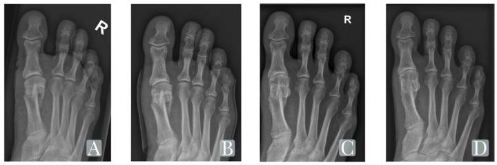
Clinical Evidence
HALLUX VALGUS FOLLOW-UP
Radiographic progression from a bunion correction case demonstrating integration from implantation through 27-month follow-up — the screw progressively becomes indistinguishable from native bone.

Pre-Op
Hallux valgus deformity
Post-Op
Screw implanted
3 Months
Active remodeling
27 Months
Native bone integration
Representative case. Individual patient outcomes vary. Images courtesy SurgeBright. For full clinical data and indications for use, contact your Strategic Surgical representative.
Advantages
WHY SHARK SCREW
100% Human Cortical Bone
Machined entirely from cortical bone allograft — no synthetic polymers, no metals. The screw IS bone from day one.
60+ Indications
Hallux valgus, arthrodesis, fracture fixation, osteotomies, ligament and tendon fixation across hand & wrist, foot & ankle, shoulder, knee, and pediatric surgery.
No Hardware Removal
This eliminates the need for a second surgery to remove metal implants, along with the associated risks for patients.
Developed at Graz University of Technology
Biomechanical research at Graz University of Technology — including swelling studies by Holzapfel & Sommer — established the foundation for the Shark Screw's clinical design.
Sizing
AVAILABLE SIZES
Four diameters in multiple lengths to address the full range of extremity fixation applications.
3.5 mm
diameter
4.0 mm
diameter
4.5 mm
diameter
5.0 mm
diameter
Multiple lengths available per diameter — contact your Strategic Surgical representative for full sizing matrix
Product Gallery
PRECISION ENGINEERED



Get Started
Interested in Shark Screw?
Schedule a consultation or request a product demonstration from your Strategic Surgical representative.
Contact Us